Секој од нас сака тоа да трае цел живот, но разводите денес се честа појава. Доколку мислите дека бројот на години кои сте ги поминале со својот партнер е клучен […]
Живот
Родителите денес забораваат да ги научат децата на една важна работа, вели експертот
Ева Москвиц е мајка на три деца и експерт за родителство. Зад себе има децениска работа со родители и деца. Како што раскажува за CNBC, таа премногу често гледа како […]
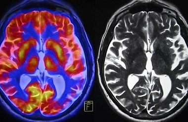
Мозокот на жените доживува структурални промени за време на менструацијата
Напливот на хормони што стои зад менструалниот циклус не влијае само на репродуктивната анатомија – тие исто така го преобликуваат мозокот. Научници од САД следеле 30 жени за време на […]
Оваа вештина често се занемарува, а сите емоционално интелигентни деца ја поседуваат
Низ годините на работа со родители, деца и старатели, психологот Лорен Стајбл често се среќава со прашањето како да се воспитуваат емоционално интелигентни деца. „Децата со висока емоционална интелигенција ги […]
Новинар убиен во програма во живо: Убиецот влегол во студио и испукал два куршуми!
Грозоморно злосторство ги потресе Филипините кога новинарот Хуан Џумалон (57) беше застрелан за време на пренос во живо на интернет. Двапати бил застрелан од напаѓачот, кој влегол во домашното студио […]
Како песничките влијаат на говорниот развој кај бебето?
Песничките што возрасните им ги пејат на бебињата и тоа како малечките реагираат на ритамот и движењата, има влијание врз говорниот и јазичен развој на детето, според ново истражување спроведено […]
Попладневна дремка: Како само 15 минути сон го регенерира телото?
Попладневната дремка може да биде корисна за мозокот. Ова го потврдува и скромната причинско-последична врска помеѓу вообичаената дремка и поголемиот вкупен волумен на мозокот. Закрепнувачката попладневна дремка може да биде […]
Зошто треба да почнете да си носите храна на работа?
Поголемиот дел од активниот ден го поминуваме на работа, а тоа значи дека најчесто јадеме два оброка на работното место, или барем еден. Во напорите да живееме здраво, а тоа […]