Црна хроника

Црна хроника

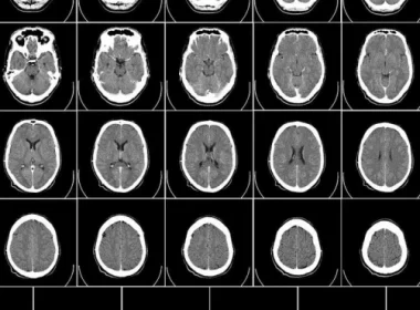
Лекарите останале зачудени, во мозокот на жената пронашле нешто што досега не е видено во човечкото тело! “Ни се згади од тоа!”

Црв од 8 сантиметри бил пронајден жив во мозокот на Австралијка, јави Би-Би-Си. „Структурата слична на жици“ е извлечена за време на операцијата од оштетеното ткиво на фронталниот лобус на […]

Црна хроника

Вака Хасан го измами монструмот од Градачац и спречи поголемо крвопролевање: Неговиот син откри непознати детали

Сопственикот на продавницата „Рибо-ловец“ во Градачац, Хасан Јашаревиќ (77) потенцијално со својата снаодливост и брзо размислување спасил многу животи кои Нермин Сулејмановиќ можел да ги уништи во намерата да продолжи […]

Црна хроника

Мистерија на смртта: Ива (27) исчезнала на забава пред стотина луѓе, нејзиното тело е пронајдено на 60 километри во Дунав

По дводневна потрага, пронајдено е телото на 27-годишната Ива Балог од Нови Сад , која исчезна ноќта меѓу петокот кон саботата од забава на новосадската плажа Офичирач во Петроварадин. Пронајден […]

Црна хроника

Знаев дека ја убил мојата ќерка, но беа потребни 32 години и храброст на друга девојка за да го докажеме тоа

“Кога слушнав на радио дека едно мало девојче било киднапирано и нападнато во Брајтон, го добив истото чувство во стомакот како што ја имав таа долга ноќ барајќи ја ќерка […]

Црна хроника

Канаѓанец продавал отров на луѓе преку Интернет, осомничен е за 88 смртни случаи

Покрената е истрага за смртта на 88 лица во Велика Британија кои купиле отров преку канадска веб-страница.Истрагата е покрената откако Канаѓанецот Кенет Лов (57) беше уапсен и обвинет во Онтарио […]

Црна хроника

Велика Британија: Канадскиот готвач поврзан со 88 самоубиства

Британската Национална агенција против криминал (НЦА) поведе официјална истрага против канадскиот готвач Кенет Ло поради поврзаност со 88 смртни случаи во Велика Британија. Тој преку својата интернет страница ги снабдувал […]

Црна хроника

ДОЈДЕТЕ БРЗО, ВЕРЕНИЦАТА МИ СЕ ОБЕСИ: Вознемирен маж пријавил самоубиство – полицијата веднаш го уапси

Смртта на 25-годишна жена во областа Катанија во Италија е мистерија, а полицијата случајот го истражува како убиство. Во моментов, две лица се уапсени – нејзиниот сопатник, романски работник и […]

Црна хроника

(ВИДЕО) Дритан евакуиран од дискотека! Луѓето го опколија автомобилот на Абазовиќ, интервенираа 20 полицајци

Откако беше објавено дека синоќа имало инцидент во дискотеката Топ Хил во Будва, а бил евакуиран и премиерот Дритан Абазовиќ, порталот CdM објави видео на кое се гледа како Абазовиќ […]