Лекарите по интервенцијата објавиле фотографии на Фејсбук
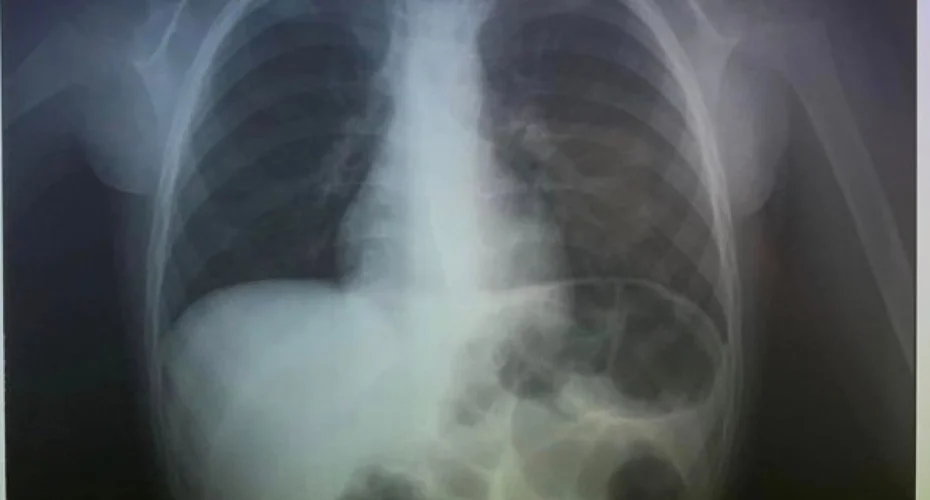
Семејство на Крит доживеало вистинска драма откако четиригодишно момче проголтало паричка.
Според локалните медиуми, родителите на момчето го однеле во болница неколку часа пред Новата 2024 година.
Докторите прво направиле рендген, за да видат каде заврши паричката и виделе дека е заглавена во грлото.
За среќа успеале да го извлечат и момчето со семејството се вратило дома.
Лекарите по интервенцијата објавиле фотографии на Фејсбук.
„Се простивме од 2023 година со итно вадење на паричка проголтана од момче (4). Среќна Нова Година“, напишаа тие.
Пронајдете не на следниве мрежи:



